ISSN 1004-4140
    CN 11-3017/P

    肝脏CT增强中深度学习重建算法联合“双低”剂量的应用研究

    Deep Learning Reconstruction Algorithm Combined with “Double Low” Dose for Liver CT Enhancement

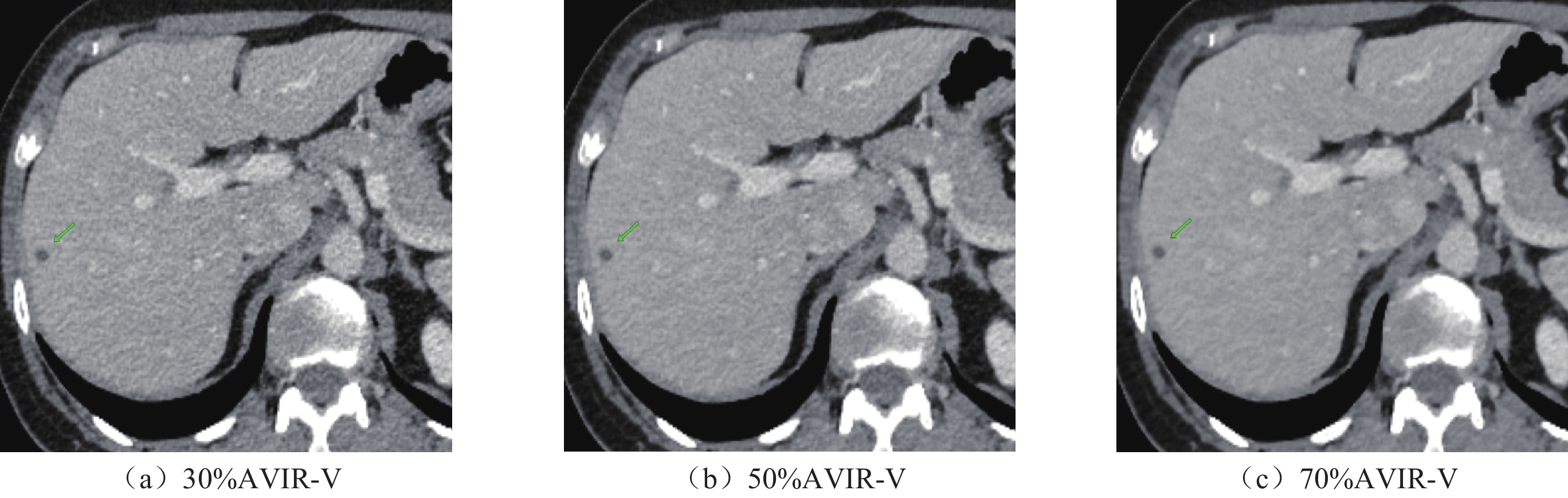
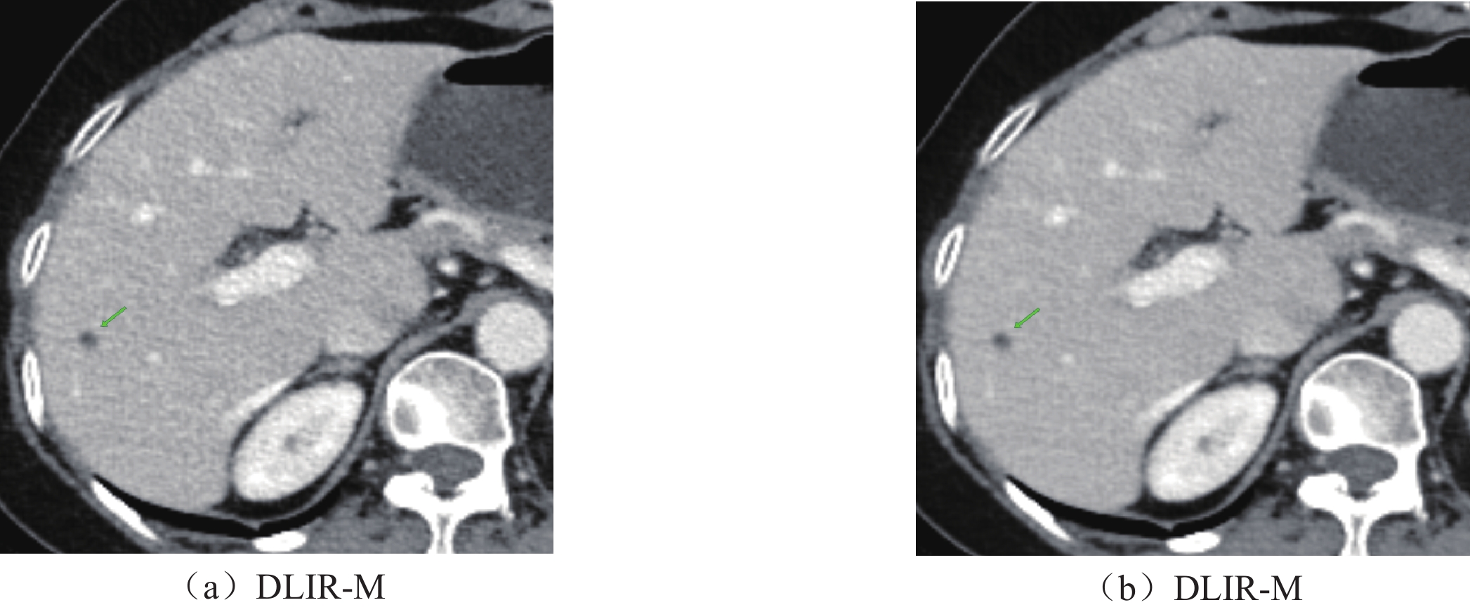
    • 摘要: 目的:探讨在肝脏CT增强中结合低辐射剂量和低碘对比剂,深度学习重建算法(DLIR)与自适应统计迭代重建(ASIR-V)的应用效果。方法:前瞻性收集行腹部增强CT的患者82例,随机分成A组和B组,A组(对照组)常规剂量(管电压120kVp,碘对比剂85mL)下门静脉期采用30%、50%、70% ASIR-V(AV30、AV50、AV70)进行图像重建。B组(实验组)双低剂量(管电压80kVp;碘对比剂65 mL)下门静脉期采用中、高强度深度学习(DLIR-M,DLIR-H)进行图像重建。计算了图像噪声(SD)、信噪比(SNR)、对比噪声比(CNR)、病灶对比噪声比(LLR)、品质因数(FOM)、有效辐射剂量(ED)及碘摄入量。两名诊断医生评估不同剂量下不同重建方式的主观图像质量。结果:A组和B组的性别、年龄、体重指数BMI差异均无统计学意义。在有效剂量降低38.40%,对比剂用量降低23.53%下,DLIR-M与AV50、DLIR-H与AV70肝实质、门静脉SD值差异均无统计学意义,肝实质、门静脉SNR中仅DLIR-M与AV50不具有统计学意义,肝实质、门静脉CNR中仅DLIR-M与AV70差异无统计学意义,病灶对比噪声比(LLR)与品质因数(FOM)中,仅DLIR-M与AV70差异无统计学意义。在各项主观图像质量评估中,双低剂量下的DLIR表现优于常规剂量的AVIR-V,尤其是DLIR-H表现最佳。结论:与常规剂量下ASIR-V相比,DLIR在“双低”(低辐射剂量低对比剂)剂量下可以提高图像质量和肝脏低对比度病灶的检测能力。

       

      Abstract: Objective: Exploration of the application of a deep-learning reconstruction algorithm (DLIR) and adaptive statistical iterative reconstruction (ASIR-V) based on the combination of low radiation dose and low iodine contrast agent in liver CT enhancement. Methods: A total of 82 patients who underwent abdominal enhanced CT were prospectively selected and randomly separated into groups A and B. Group A (control group) received a conventional dose (tube voltage 120 kVp; iodine contrast 85mL) and inferior portal image reconstruction was applied using 30%, 50%, and 70% ASIR-V (AV 30, AV 50, AV 70). In Group B (experimental group), image reconstruction was based on medium- and high-intensity deep learning (DLIR-M, DLIR-H). Image noise (SD), signal-to-noise ratio (SNR), contrast-to-noise ratio (CNR), lesion contrast-to-noise ratio (LLR), quality factor (FOM), effective radiation dose (ED), and iodine intake were calculated. Subjective image quality results were obtained for different reconstruction methods at different doses. No significant differences in gender, age, and BMI between groups A and B were found. For 38.40% effective dose and 23.53% reduction in the contrast agent dosage, no significant SD differences were found between DLIR-M and AV 50, DLIR-H and liver parenchyma and AV 70. Only DLIR-M and AV 50 in the portal SNR were not statistically significant. No significant differences were found between DLIR-M and AV 70 in liver parenchyma and portal CNR. Concerning LLR and FOM, no significant differences were found between DLIR-M and AV 70. For various subjective image quality assessments, DLIR at double low doses outperformed AVIR-V, especially DLIR-H. Conclusions: DLIR can improve image quality and the ability to detect liver low contrast lesions at “double low” (low radiation dose low contrast) compared to ASIR-V.

       

    /

    返回文章
    返回