ISSN 1004-4140
    CN 11-3017/P

    扫描模式对胸主动脉CTA成像质量和辐射剂量的影响

    Comparative Study of Different Scanning Modes in Thoracic Aortic Computed Tomography Angiography

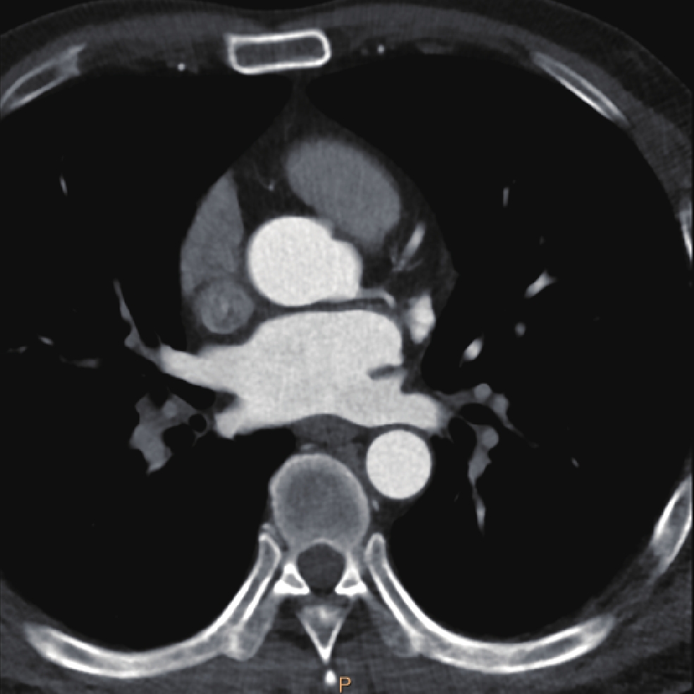
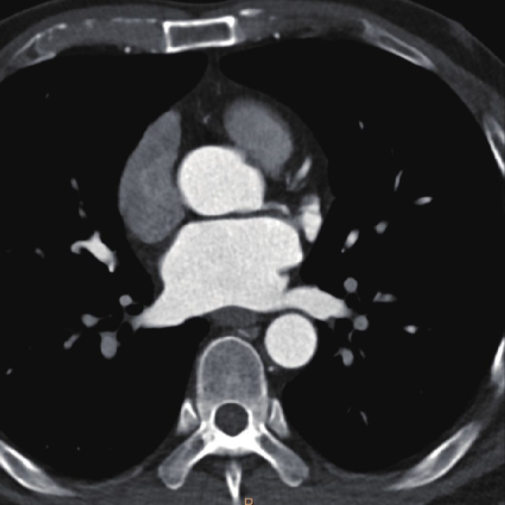
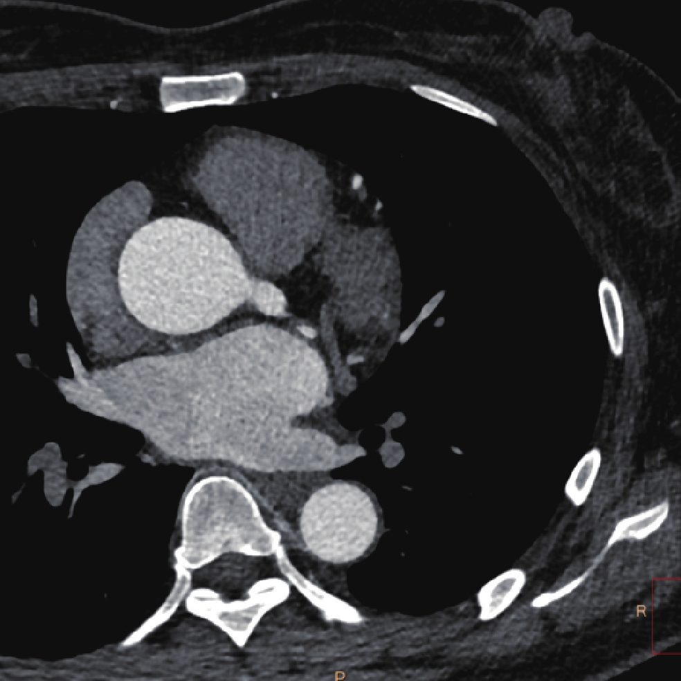
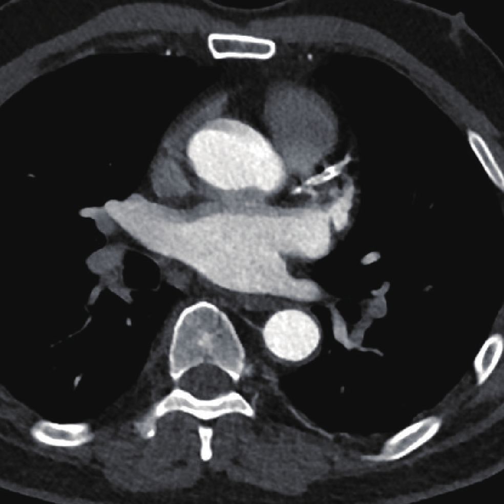
    • 摘要: 目的:探讨不同扫描模式对胸主动脉CTA图像质量和辐射剂量的影响。方法:回顾性分析未应用心电门控技术的30例胸主动脉CTA(组1,对照组),使用回顾性心电门控的30例冠脉CTA重建舒张期(组2)和收缩期(组3)时相,30例应用宽曝光脉冲前瞻性心电门控技术(组4)共4组图像的质量和辐射剂量。分别记录、计算4组的图像质量客观指标CT值、噪声、CNR和辐射剂量指标CTDIvol。对图像质量进行四分法主观评价。对主客观指标分别统计分析。结果:客观指标CNR组1与组2、3、4均有差异,组2、3、4间均无差异;主观评分两两比较组2~4显著高于组1,组2~4间无差异。非门控组(组1)、回顾门控组(组2和组3)和前瞻门控组(组4)的CTDIvol分别为13.70(11.87,16.58)、12.62(10.03,15.01)、11.54(8.92,15.56),差异无统计学意义。结论:在胸主动脉CTA中推荐使用窄曝光脉冲的前瞻性心电门控收缩期或舒张期扫描,可显著提高胸主动脉心脏段图像质量并降低辐射剂量。

       

      Abstract: Objective: This study aimed to compare the effects of different scanning modes on image quality and radiation dose in thoracic aortic computed tomography angiography (CTA). Methods: The image quality and radiation dose of 30 cases of thoracic aortic CTA (Group 1, control group), 30 cases of retrospective CTA diastolic phase (Group 2) and systolic phase (Group 3), and 30 cases of wide-exposure pulse prospective electrocardiogram (ECG) (Group 4) were retrospectively analyzed. The CT value, noise, contrast-to-noise ratio (CNR), signal-to-noise ratio (SNR), and radiation dose (volume CT dose index CTDIvol) were recorded and measured. The image quality was evaluated subjectively using the four points method. The subjective and objective indicators were analyzed statistically. Results: No differences were observed in the objective indexes of noise, CNR and SNR among the groups. The subjective score of pairwise comparison of Groups 2~4 was significantly higher than that of Group 1, and no difference was observed among Groups 2~4. The CTDIvol values of the non-gated group (Group 1), retrospective gated groups (Groups 2 and 3), and prospective gated group (Group 4) were 13.70 (11.87,16.58), 12.62 (10.03,15.01), and 11.54 (8.92,15.56), respectively, without a statistically significant difference.

       

    /

    返回文章
    返回