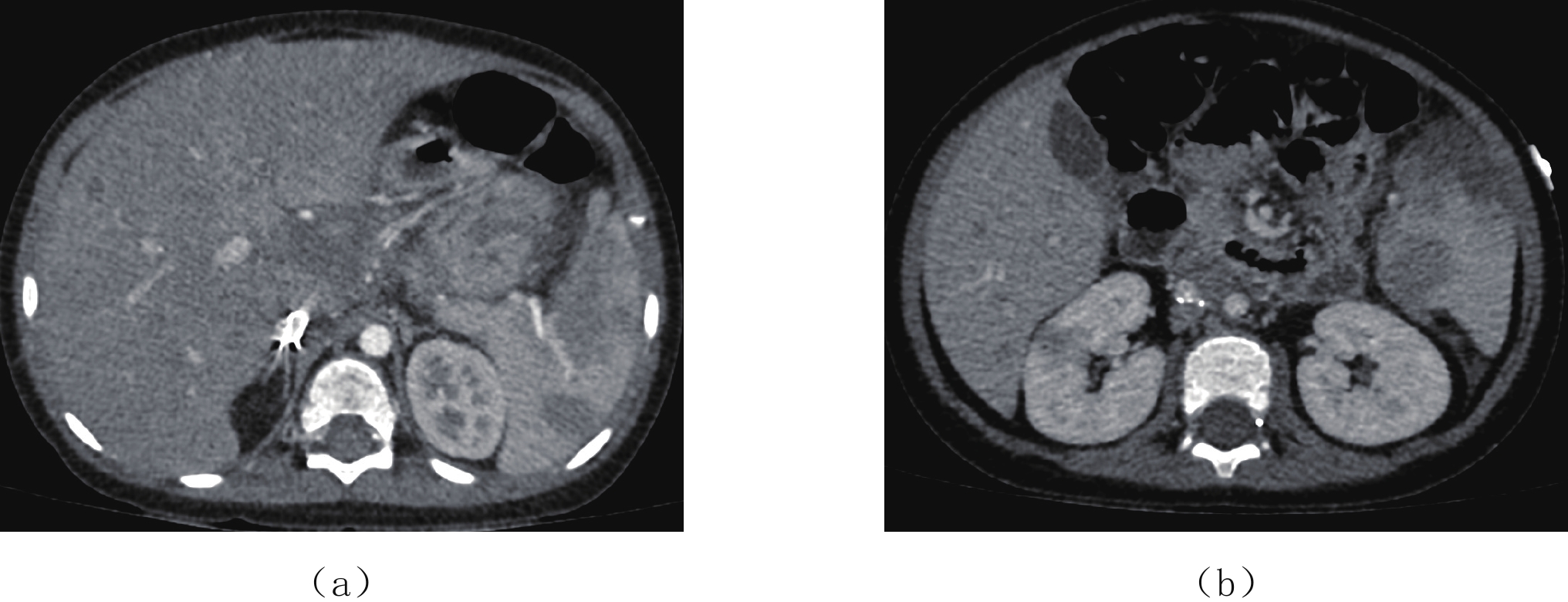
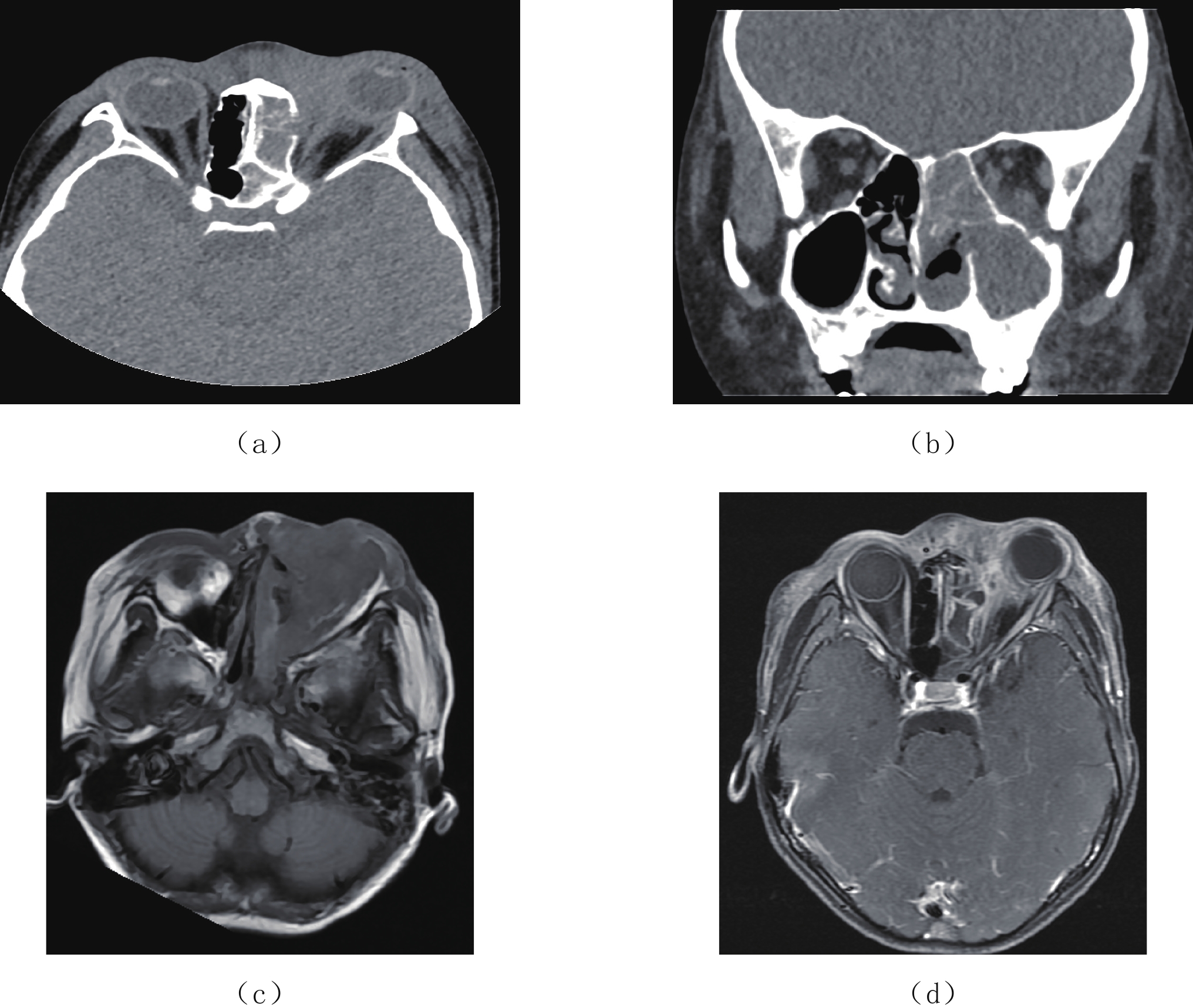
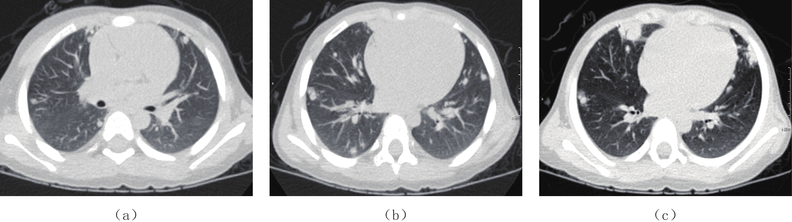
Abstract:
Epstein-Barr virus (EBV), also known as a gamma herpesviru, has the characteristics of lymphophilic tissue. EBV is one of the most common human viruses of the human cold virus group and the first human tumor virus found. Infection with EBV occurs by the oral transfer of saliva and respiratory secretions. Human B-lymphocytes and epithelial cells are EBV-susceptible host cells. First EBV infection often occurs in infancy and in childhood. EBV-associated diseases include infectious mononucleosis, EB virus associated hemophagocytic lymphoproliferative disorder (EBV-HLH), chronic active EBV Infection, EBV infection-associated autoimmune disease. EBV infection can also cause the proliferative diseases of the infected cells, such as various non-malignant lymphoproliferative diseases, lymphomatoid granulomatosis, EBV associated with many more malignant diseases including Burkitt′s lymphoma, Hodgkin′s lymphoma, Diffuse Large B-Cell Lymphoma, NK/T cell lymphoma, nasopharyngeal carcinoma, a subset of gastric carcinomas, and many more. This paper mainly focuses on EBV associated lymphoproliferative diseases and imaging characteristics in children.