ISSN 1004-4140
    CN 11-3017/P

    不同预后重症新型冠状病毒感染者临床及胸部CT影像分析

    Clinical and Imaging Analysis of Patients with Severe and Critical Coronavirus Disease 2019 with Different Prognosis

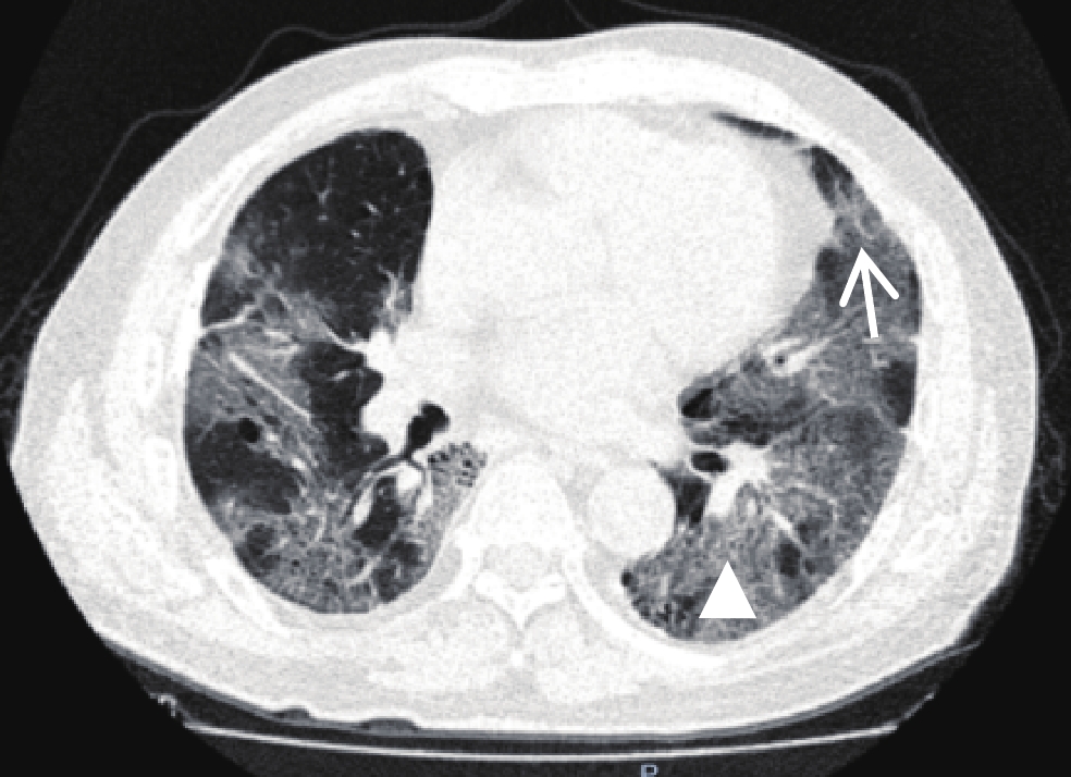
    • 摘要: 目的:分析不同预后的重型及危重型新冠肺炎患者影像及临床资料,为临床决策提供帮助。方法:收集重型及危重型新冠肺炎患者的临床资料和胸部CT,临床资料包括:血常规、C反应蛋白、降钙素原(PCT)、肝肾功能、D-二聚体(D-Dimer)、心肌酶、B型氨基端利钠肽原(LNTP)、有无基础病史,比较不同预后两组新冠肺炎患者胸部CT影像及各项指标差异,对两组存在显著差异性的相关指标做二元logistic回归分析。结果:入组118例患者,死亡组68例,生存组50例,死亡组年龄大于生存组,死亡组咳痰与纳差症状的比例更高;与生存组比较,死亡组在白细胞计数(WBC)、中性粒细胞绝对值(NEUT)、单核细胞绝对值(MONO)、红细胞计数(RBC)、血红蛋白(HGB)、红细胞比积(HCT)、肾小球滤过率异常、降钙素原(PCT)、D-Dimer、肌酸激酶同工酶(CK-MB)、肌钙蛋白(TNI)、B型氨基端利钠肽原(LNTP)异常的比例更高;相对于生存组,死亡组的WBC、NEUT及百分率、中性粒细胞/淋巴细胞比值(NLR)、红细胞体积分布宽度(RDW-CV)、红细胞体积分布宽度SD(RDW-SD)、PCT、D-Dimer、肌酸激酶(CK)、CK-MB、肌红蛋白(MYO)、TNI、LNTP值明显升高,而淋巴细胞百分率(%LYMPH)、单核细胞百分率(%MONO)、平均红细胞血红蛋白浓度(MCHC)、肾小球滤过率明显减低。年龄、RBC、肾小球滤过率、CK-MB、MYO、LNTP是提示预后结果的主要因素;与生存组比较,死亡组患者新冠病毒感染肺炎的影像无明显差异,但初始胸部CT病变范围较大,多超过50%;生存组肺部CT病变较多位于肺外周及胸膜下,伴随病程死亡组病变多表现为进展或加重。结论:新冠病毒感染患者的年龄、血常规、肝肾功能、心肌功能、血凝状态、炎性反应物指标、肺部病变范围及进展情况是提示疾病严重程度及预后不良的重要因素;年龄、RBC、肾小球滤过率、CK-MB、MYO、LNTP的异常是提示重型及危重型患者致死性结果的主要危险因素;结合临床及实验室检查综合评估,胸部CT检查及随访是不能缺少的判断疾病严重程度及预后的重要评估方法。

       

      Abstract: Objective: This study aimed to analyze imaging and clinical data of patients with severe and critical coronavirus disease 2019 (COVID-19) with different prognoses and provide help for clinical decision-making. Method: Clinical data and chest imaging computed tomography (CT) of patients with severe and critical COVID-19 were collected. Clinical data included: blood routine indexes, C-reactive protein, procalcitonin (PCT), the indexes of liver and kidney function, D-Dimer, myocardial enzyme, B-type amino terminal natriuretic peptide (LNTP), and whether there was any underlying medical history. The chest CT images and various indexes of patients with different prognoses of COVID-19 were compared. The relevant indicators with significant differences between the two groups were analyzed using binary logistic regression. Results: A total of 118 patients were enrolled, including 68 in the death group and 50 in the survival group. The age of the death group was longer, and the proportion of sputum and poor tolerance was higher than that of the survival group. Compared with the survival group, in the death group, there was a higher abnormal proportion of leukocyte count (WBC), neutrophil absolute value, monocyte absolute value, red blood cell count (RBC), hemoglobin, erythrocyte ratio, abnormal glomerular filtration rate, PCT, D-Dimer, creatine kinase isoenzyme (CK), troponin (TNI), LNTP. Compared with the survival group, WBC, NEUT and percentage, neutrophil/lymphocyte ratio, erythrocyte volume distribution width, erythrocyte volume distribution width standard deviation, PCT, D-Dimer, CK, CK-MB, myoglobin (MYO), TNI and LNTP were significantly increased in the death group, while the lymphocyte percentage, monocyte percentage, mean RBC hemoglobin concentration (MCHC), and glomerular filtration rate were significantly lower. Compared with the survival group, there was no significant difference in the imaging signs of COVID-19 infection in the death group, but the scope of initial chest CT lesions was larger, with more than 50%. In the survival group, more CT lesions were located in the periphery of the lung and subpleura, while in the death group, more lesions showed progression or aggravation. Age, RBC, glomerular filtration rate, CK-MB, MYO, and LNTP were the main factors that suggested prognostic outcomes. Conclusion: Age, blood routine, liver and kidney function, myocardial function, hemagglutination status, inflammatory reactant index, and lung lesion extent and progression of patients infected with COVID-19 are important factors indicating the severity of the disease and poor prognosis. Abnormal increases in leukocyte and neutrophilic granulocyte, CRP, PCT, D-dimer, and myocardial markers might be the main factors that better predict fatal outcomes in severe and critical patients. Abnormalities in age, RBC, glomerular filtration rate, CK-MB, MYO, and LNTP were the main factors indicating fatal outcomes in severe and critically ill patients. Combined with the comprehensive evaluation of clinical and laboratory examinations, imaging findings and follow-up are indispensable methods to evaluate the severity and prognosis of the disease.

       

    /

    返回文章
    返回